Глава Пентагона выдал монолог из "Криминального чтива" за библейскую молитвуВ КР самая высокая зарплата в горнодобывающем секторе, самая низкая - в культуре

Сердца жителей Жалал-Абадской области под защитой рентгенохирургов

 

Фотографии: vb.kg

    

17 апреля 2026, 12:31       Источник vb.kg       Комментарии

Национальная программа "Здоровое сердце на 2025-2030 годы" стартовала после подписания указа Президента Кыргызстана Садыра Жапарова в конце прошлого года. Главная ее цель - снизить смертность от сердечно-сосудистых заболеваний на 25 процентов к 2030 году.
Сейчас от болезней системы кровообращения в Кыргызстане умирает ежегодно, по официальной статистике, 20 тысяч человек, а ежедневно – около 60 человек. Сердечно-сосудистые заболевания на первом месте во всем мире – и в Америке, и в Европе. Это де-факто. Но Кыргызстан, по данным регионального бюро ВОЗ, находится в первой десятке стран мира по показателю смертности от коронарной болезни сердца.
Программа имеет несколько направлений. Первое касается отношения населения к своему "мотору". Иными словами - это профилактика путем раннего выявления заболевания. И второе направление - это улучшение лечения. В Кыргызстане впервые создается сеть катлабов – катеризационных лабораторий. Это – ядро, основа высокотехнологичных сердечно-сосудистых кластеров в регионах. То, что делается в столичных центрах, будет и уже делается в нескольких областях. В этих катеризационных лабораториях бригада рентгенхирургов при необходимости проводит поступившему больному операцию по стентированию, причем в любое время суток и в большинстве случаев бесплатно. После установки стента артерия откроется, и миокард начнет снабжаться кровью. И больной не просто выживет, он станет еще и здоровым человеком. Помощь выстраивается так, чтобы пациент попадал на операционный стол максимально быстро, чтобы успеть уложиться в "золотой час", когда оперативное лечение наиболее эффективно. До 2030 года в стране, согласно программе, должно быть открыто 17 катлабов.
Блестяще, в круглосуточном режиме рентген-эндоваскулярные хирурги работают в Бишкеке, спасая больных с острым инфарктом. Стремительно прогрессирует и Южный региональный научный центр сердечно-сосудистой хирургии в Жалал-Абаде. Пациенты попадают в операционную прямо "с колес скорой", и после быстрого обследования, занимающего не более получаса, рентгенохирурги уже подводят катетер к проблемному месту в коронарном сосуде. Задача ясна: чем быстрее выполнено стентирование, тем лучше будет результат.
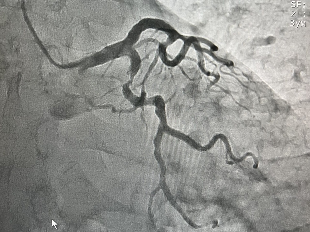
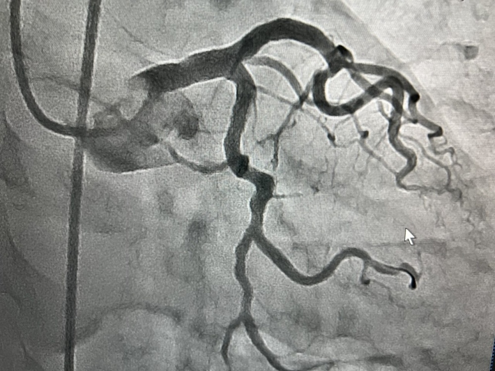
В отделение рентгенохирургии Южного регионального научного центра сердечно-сосудистой хирургии в Жалал-Абаде уже с марта привозят больных с различными сердечными патологиями, в том числе с острым коронарным синдромом из сел и райцентров Жалал-Абадской области. В начале апреля 28 пациентам проведена ангиография, благодаря этому методу контрастного рентгенологического исследования врачи на экране видят чёткое изображение сосудов сердца, их сужения и аномалии. Нескольким из этих больных рентгенохирурги установили стенты, чтобы предотвратить инфаркт миокарда, четверым - уже с острым инфарктом миокарда. Оказана необходимая помощь и пациентам при других формах коронарных синдромов.
"На днях одному пациенту с критической аритмией был имплантирован постоянный электрокардиостимулятор. После процедуры состояние пациента стабилизировалось. Пяти пациентам в первой половине апреля были проведены открытые операции на сердце по поводу многососудистого поражения коронарных артерий. Три операции выполнены на работающем сердце с минидоступом, две - с применением искусственного кровообращения для полной реваскуляризации миокарда", - рассказал Игорь Першуков, профессор, доктор медицинских наук, доктор философии (PhD), заведующий кафедрой госпитальной терапии с курсом лучевой диагностики и онкологии Жалал-Абадского госуниверситета, заместитель директора по научной работе Южного регионального научного центра сердечно-сосудистой хирургии, действительный член Американского колледжа кардиологов, действительный член Американского общества сердечно-сосудистой ангиографии и интервенций.
То есть больные с сердечно-сосудистыми патологиями, в частности, в предынфарктном состоянии и с острым инфарктом попадают в центр в нужное время. А это - главная причина снижения смертности от инфаркта миокарда. Иными словами, у больных в Жалал-Абадской области есть шанс выжить, даже когда сердце совсем выбивается из сил. В центре для этого есть все: главное - хорошо подготовленные специалисты и возможности для оказания людям экстренной помощи. Все рентген-эндоваскулярные вмешательства проводятся на высоком профессиональном уровне, и больные, точнее, уже здоровые жители Жалал-Абадской области возвращаются домой. Операции проводятся под контролем заведующего отделением и директора центра Кайрата Эргешова.
"Планируем в ближайшее время провести эндоваскулярную операцию при врожденном пороке", - многозначительно пообещал Игорь Викторович.
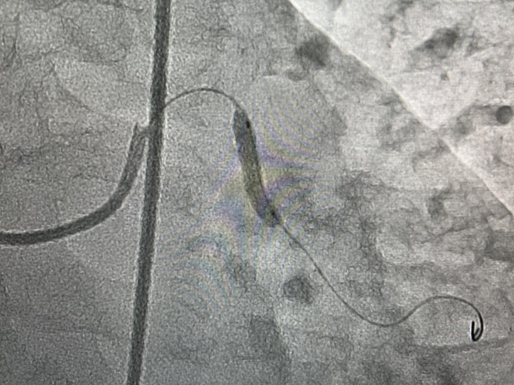
И буквально через несколько дней пришло сообщение – объединенная команда рентгенохирургов центра и НОПК ЖАГУ, которые работают в тесном контакте, провели обещанную операцию: закрыли дефект межпредсердной перегородки девочке-подростку с помощью окклюдера AMPLATZER. Через бедренную вену хирурги с помощью катетера подвели окклюдер к месту дефекта и поставили, образно говоря, крепкую "заплатку" на проблемной межпредсердной перегородке. По словам профессора Першукова, операция длилась менее часа и была выполнена профессионально: девочка теперь здорова.
"Межпредсердная перегородка - тонкая стенка, разделяющая правое и левое предсердия. В норме ребенок рождается с дополнительным отверстием в межпредсердной перегородке, которое называется овальным окном. После рождения в здоровом сердце овальное окно обычно закрывается. Это происходит в разном возрасте, чаще всего от 1 года до 3-5 лет. Перегородка становится сплошной, - пояснил Игорь Першуков. - Но иногда в процессе внутриутробного развития отверстия в перегородке образуются не только в области овальной ямки, из-за чего возникает дополнительное сообщение между предсердиями, и часть крови, которая должна участвовать в большом кровотоке, сбрасывается из левой части сердца в правое. Это создает избыточную нагрузку на правое предсердие и желудочек и с течением времени приводит к нарушению деятельности сердечно-сосудистой системы, перегрузке легких и развитию тяжелых осложнений", - добавил заместитель директора центра.
По словам профессора, дефект межпредсердной перегородки - врожденный порок развития, который закладывается во внутриутробном периоде. Точная причина формирования дефекта неизвестна. Предполагается, что большая часть патологий развивается без каких-либо явных причин, спонтанно. Часто недозакрытие овального окна с формированием дефекта перегородки может встречаться у недоношенных младенцев и детей, перенесших пневмонию сразу после рождения. Значительную роль может также играть наследственность, поскольку первичные и вторичные дефекты перегородки встречаются у близких родственников в одной семье. Патология довольно распространена и встречается примерно у 25 процентов детей старше двух лет. Однако часто дефект остается незамеченным вплоть до 40-50 лет, когда появляются выраженные симптомы, требующие активного, в некоторых случаях - хирургического лечения.
Этой девочке необходима была операция в 15 лет. Вторичный дефект межпредсердной перегородки был выявлен у нее два года назад, и все это время она находилась под наблюдением кардиологов, проходила регулярный контроль, включая эхокардиографию. По мнению специалистов, вероятность самостоятельного закрытия дефекта была близка к нулю. Поэтому, чтобы предотвратить тяжелые осложнения со стороны сердца, было принято решение закрыть дефект с помощью окклюдера. Мама пациентки согласилась на операцию.
Преимущества эндоваскулярной методики по сравнению с операцией на открытом сердце в том, что сложнейшие дефекты в организме рентген-эндоваскулярные хирурги исправляют, не проводя травматичных полостных операций. Обходятся, как говорится, "малой кровью" - действуют через проколы, добираются к больному месту по кровяному руслу, причем без наркоза, под местным обезболиванием. В результате ниже риск послеоперационных осложнений, пациенты быстрее выздоравливают и возвращаются к нормальной жизни.
Разговор в ординаторской
Профессор, вы сказали, что у вашей пациентки был вторичный дефект межпредсердной перегородки. Что значит вторичный?
- Дефекты межпредсердной перегородки (ДМПП) могут различаться по локализации, размеру и количеству. В зависимости от степени и характера недоразвития перегородки пороки сердца данной группы разделяются на первичный вид, когда дефект возникает из-за нарушения формирования соединения четырех камер сердца. Первичные дефекты могут иметь большой размер (у взрослых до 3-5 см). На долю этого дефекта приходится 15% всех случаев заболевания. Вторичный дефект перегородки сердца возникает из-за нарушения закрытия овального окна после рождения. Как правило, такая патология локализуется в области овальной ямки и имеет небольшой размер, диагностируется в 80% случаев. Именно такой дефект был у нашей пациентки. Есть и другие виды дефектов, но они встречаются намного реже.
Почему вы приняли решение об операции? Была угроза жизни девочки?
- Как я уже сказал, при дефекте межпредсердной перегородки артериальная кровь сбрасывается из левого предсердия в правое. Из-за чего нагрузка на правый желудочек значительно возрастает. У детей при малом размере дефекта это редко приводит к заметным симптомам и выраженным изменениям. Однако если дефект большой, то уже на первом-втором году жизни может возникнуть значимая перегрузка и сердечная недостаточность вследствие увеличения кровотока в малом круге кровообращения с развитием симптоматической легочной гипертензии. А после 16–20 лет у пациентов может развиваться легочная гипертензия с изменением сосудов легких.
Это - опасное заболевание, которое связано с необратимыми изменениями сосудов. Чаще всего оно развивается после 30 лет, если дефект не был закрыт вовремя. Органическая обструкция легочных артериол провоцирует повышение давления в правом желудочке и развитие сердечной недостаточности. Сброс крови, то есть шунт, меняет направление. Если первоначально кровь сбрасывается справа налево лишь в некоторые периоды, например, во время повышенной физической нагрузки, кашля, то со временем такой сброс становится стойким, вследствие чего развиваются различные осложнения, и закрытие такого дефекта становится очень проблематичным, порой и невозможным. Поэтому важно закрывать ДМПП до развития патологических изменений в легочных сосудах.
Когда додумались закрывать дефект с помощью окклюдера - крошечного устройства?
- Эндоваскулярный (внутрисосудистый) метод закрытия ДМПП начал развиваться с 1975 года. В последующие годы было испытано несколько поколений окклюдеров, но только с 2001 года устройства получили международное одобрение для использования в повседневной медицинской практике. Такие операции проводились в нашем центре и раньше, но теперь будем проводить их чаще, тем более больных с такой патологией немало.
На снимках представлено видео стеноза аортального клапана до лечения, в процессе баллонной дилатации и после имплантации и стентирования
Сообщи свою новость:

Ссылка на новость:
https://for.kg/news-913461-ru.html

Читайте также

Государству вернули 319 гектаров сельхозземель в Баткенской области

Жители Оша обвинили экс-спикера парламента в захвате государственных объектов

Пилястры сбивали кувалдами: жители Оша возмущены изменением здания горсуда

В Иссык-Кульской области у мужчины нашли 109 кустов опийного мака и оружие

У памятника Бишкеку баатыру треснул меч, жители просят срочно его заменить

 

SAPE:

 

АГРОПОРТАЛ КЫРГЫЗСТАНА, НОВОСТИ СЕЛЬСКОГО ХОЗЯЙСТВА
Обучение ювелирному делу в Бишкеке
МСН Общественно-политическая газета

18+

FOR.kg - Кыргызстан новости, пресса

Поисковый сайт новостей (новостной агрегатор, агрегатор СМИ) FOR.kg

Прежде прочтите Соглашение по использованию поискового сайта FOR.kg

При использовании материалов сайта FOR.kg - ссылка на источник обязательна

По всем вопросам обращайтесь в Службу поддержки

Top.Mail.Ru
Яндекс.Метрика